Surgical Root Coverage (Gingival Recession Treatment)

  • Home
  • Surgical Root Coverage (Gingival Recession Treatment)
Oral Surgery

Surgical Root Coverage (Gingival Recession Treatment)

What it is

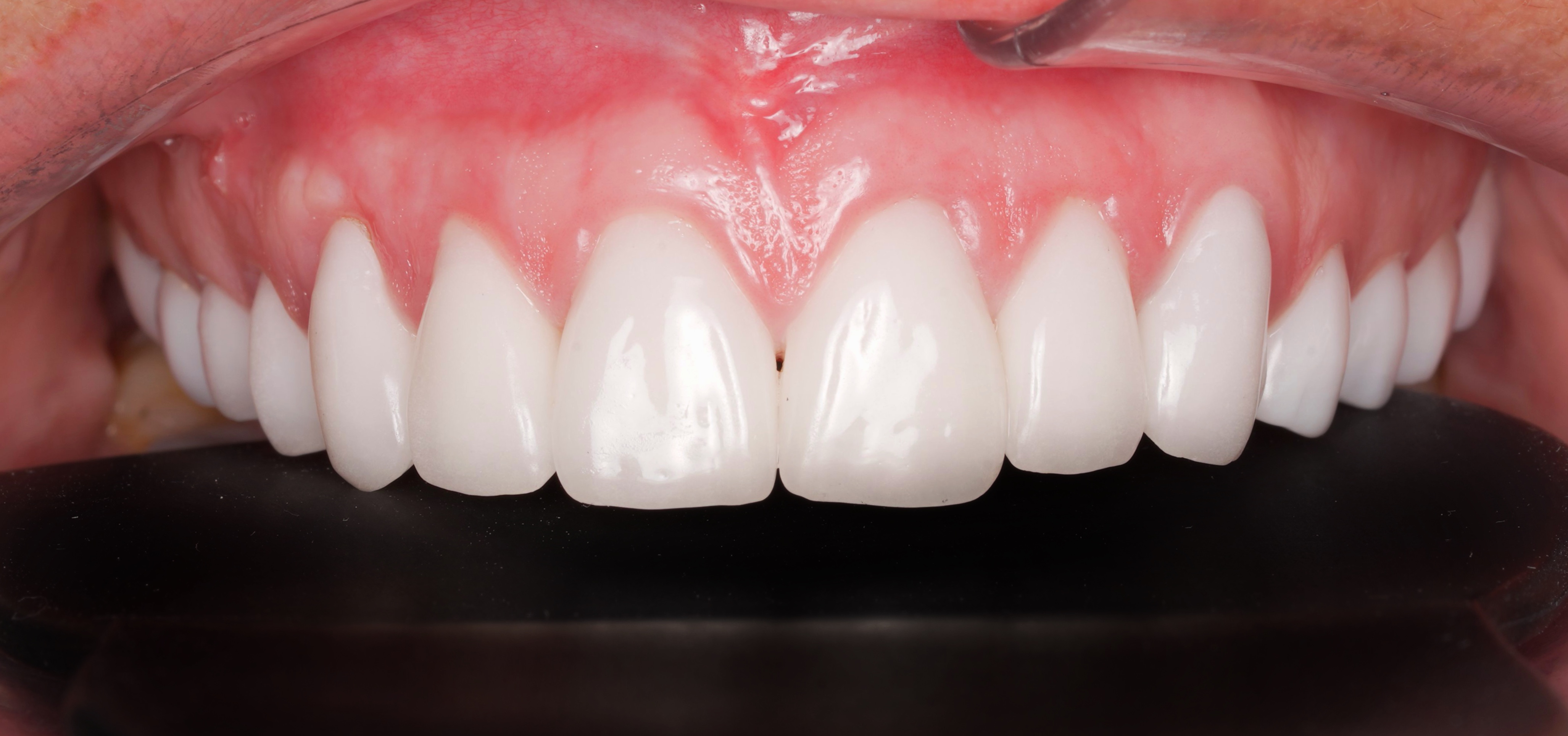
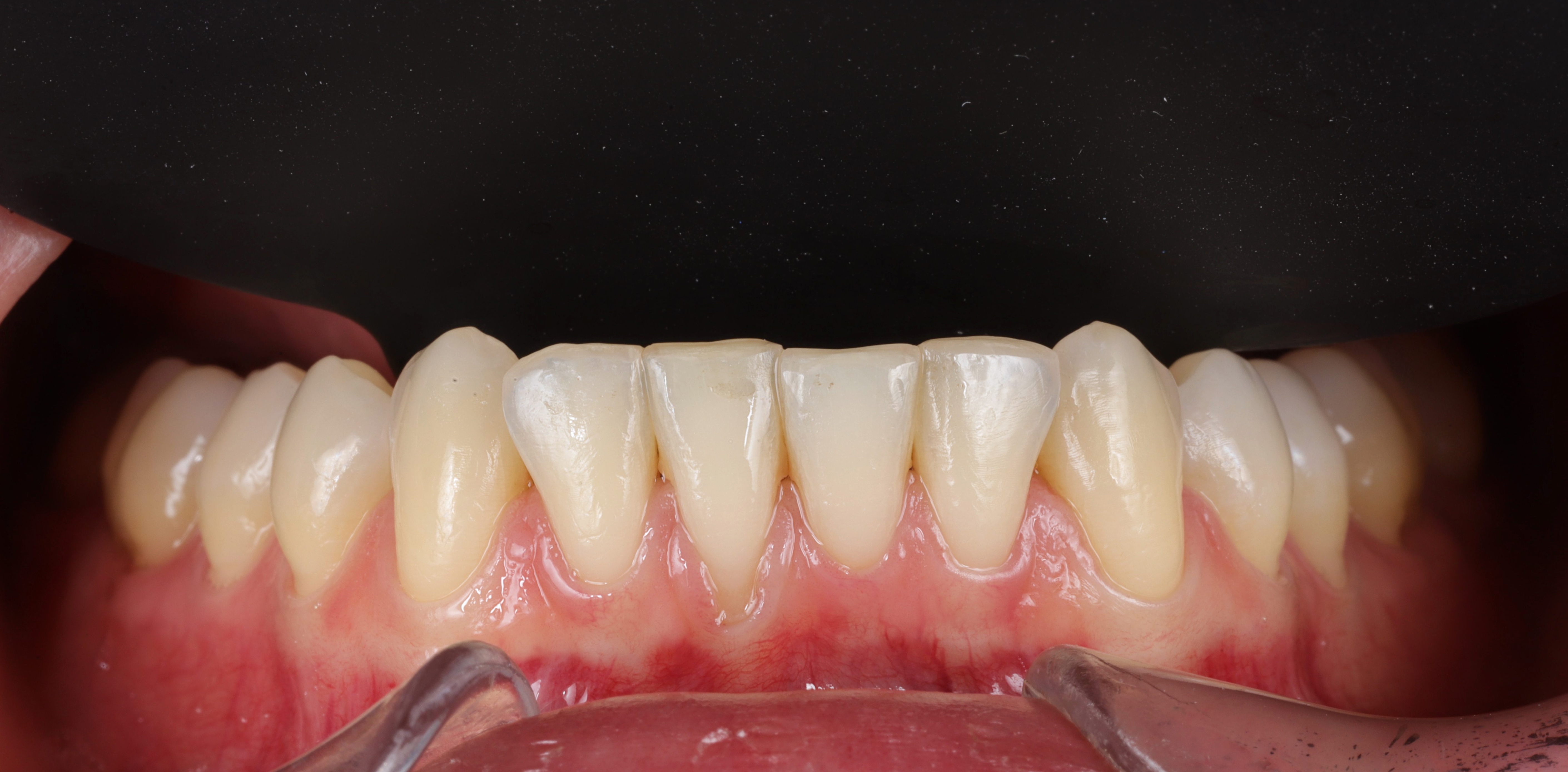
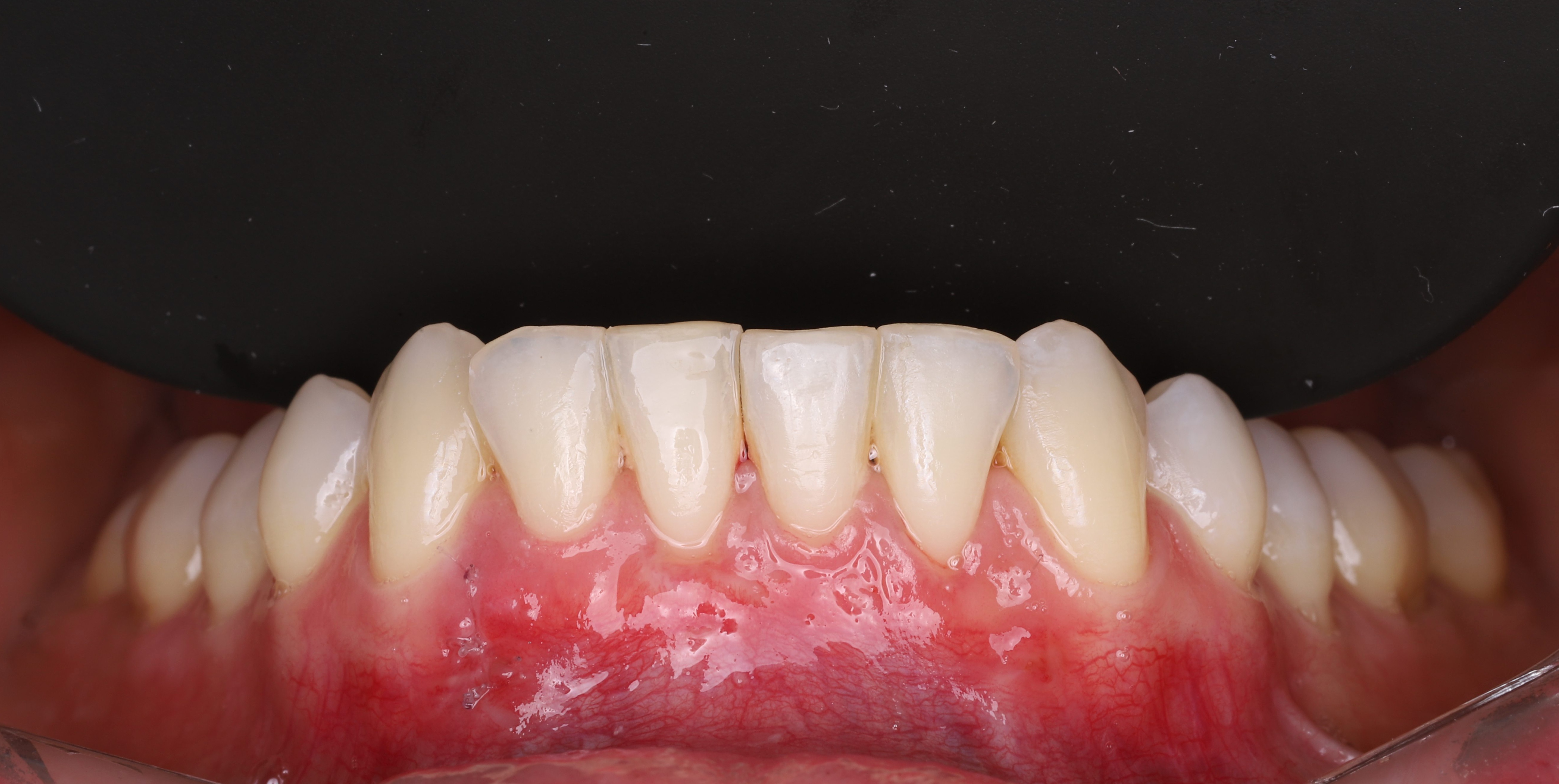
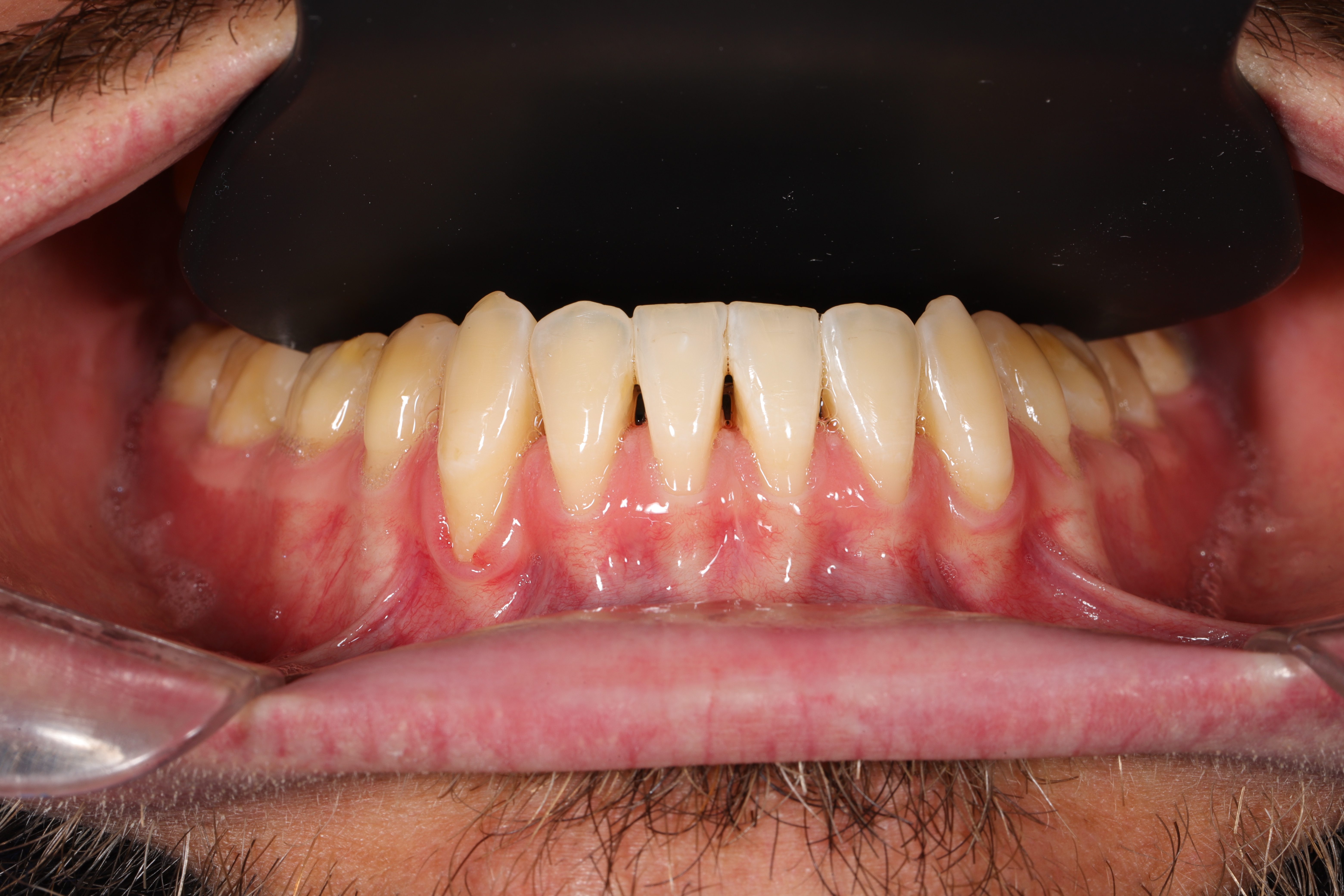
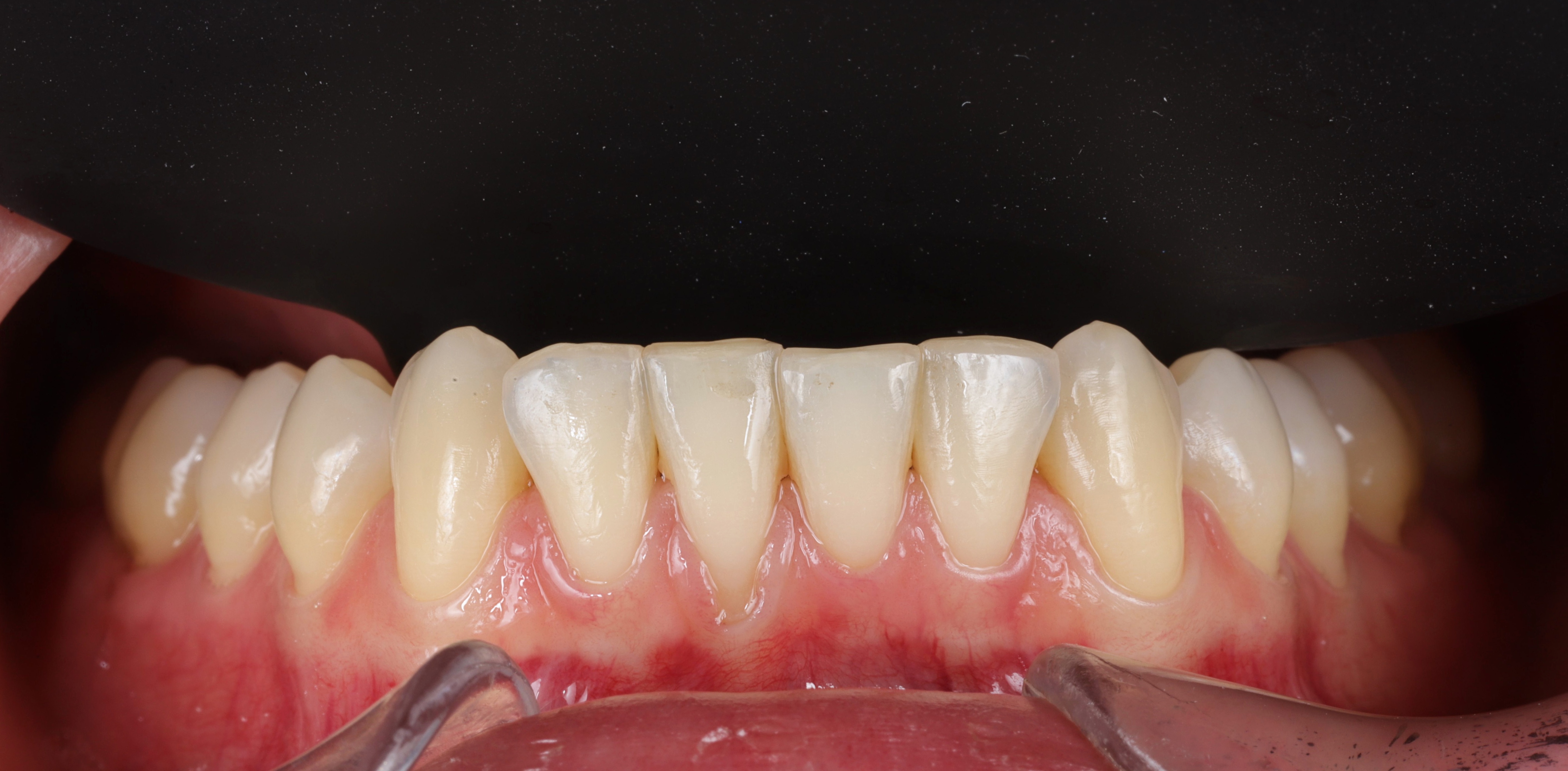
Gingival recession is the apical displacement of the gum margin, which exposes part of the tooth root.
Surgical root coverage aims to restore the gum level, reduce tooth sensitivity, protect the root from caries, and improve the overall aesthetics of the smile.

When it is indicated

  • Root hypersensitivity and/or root caries due to gum recession.
  • Aesthetic concerns (receding gums, visually elongated teeth).
  • Thin gingival biotype and risk of further gum recession.
  • Pre-orthodontic or prosthetic preparation requiring soft tissue thickening.

How it is performed
Depending on the clinical situation, several well-established soft tissue techniques are used:

  • Coronally Advanced Flap (CAF): The gum tissue is gently repositioned coronally (toward the tooth crown) to cover the exposed root.
  • Connective Tissue Graft (CTG): Often used as an additional graft, it is harvested from beneath the patient’s palate and placed under the flap to increase tissue thickness and achieve complete root coverage.
  • “Gold Standard”: The combination of CAF + CTG is considered the most effective method for achieving full root coverage, restoring a natural gum contour, and preventing further periodontal issues.
  • Tunneling Technique: A minimally invasive approach suitable for high-aesthetic areas; it maintains graft blood supply and ensures healing without visible scarring.

What we achieve

  • Complete coverage of the exposed root and restoration of a harmonious gum line.
  • Reduction of tooth sensitivity and prevention of root caries.
  • Thickening and strengthening of the gingival margin for long-term stability.
  • Noticeable improvement in smile aesthetics, especially in the anterior region.

Ready to Book Your Appointment?

Contact us today to schedule your visit and take the first step toward a healthier smile.

Our Services
Contact Us
Monday - Friday 09.00 - 18.00
20 Georgiou A, Drakos Beach House Potamos Germasogeia 4047 Limassol
info@vitadentclinic.com